Vasculares, nerviosas, articulares y óseas que se traducen en fracturas conocidas como edema óseo.
Pueden afectar las articulación del cuello, hombros, tórax, pelvis, caderas, muslos, rodillas, piernas, tobillos o el pie, es decir, cualquier estructura del cuerpo está expuesta o tiene el riesgo de sufrir una lesión.
Durante mi entrenamiento en mi segundo fellow en cirugía articular y lesiones deportivas, tuve la oportunidad de hacer una rotación en el hospital CEMA by FIFA (Centro de Excelencia Médica en Altura) en Pachuca Hidalgo, donde brindé atención médica y quirúrgica en las instalaciones de la Universidad a pacientes deportistas profesionales y de alto rendimiento, miembros del equipo de fútbol “Tuzos de Pachuca”.
 
           
                        Imagen fluoroscópica de femenino de la tercera década de la vida, que tuvo fractura de muñeca practicando alpinismo. se observa una miniplaca anatómica.
 
                        Artroscopia de tobillo
 
                        Abordaje mínimo invasivo. en paciente femenina operada de reduccion de fractura de muñeca con placa anatómica.
 
                        Artrosis de tobillo grado IV, visión artroscópica
 
                        Radiografía de una artrodesis de tobillo en futbolista
 
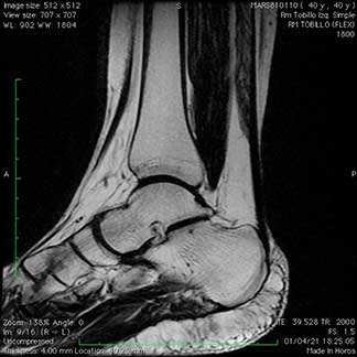
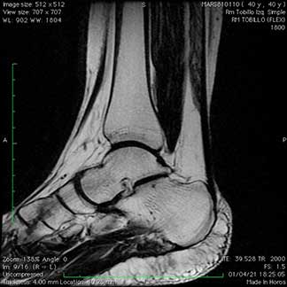
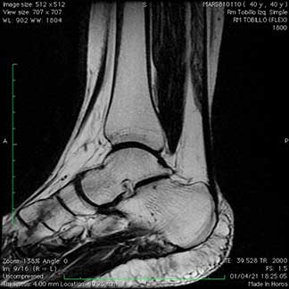
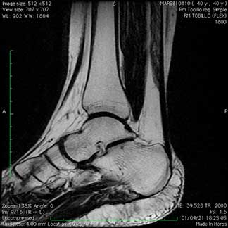
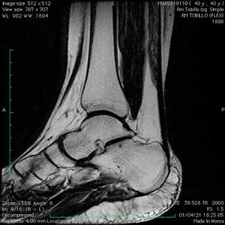
                        Resonancia magnética de tobillo de paciente con inestabilidad antero lateral
Hospital Ángeles Centro Sur Boulevard Bernardo Quintana Arrioja 9670, Blvd. Centro Sur 9800, CP 76090. Santiago de Querétaro, Qro. Piso 22, Consultorio 2235
ver mapaHospital MAC San Miguel de Allende piso 1 consultorio 112 Col. Saltito de Guadalupe
ver mapaHospital Ángeles de Querétaro piso 3 en Torre de consultorios, consultorio 325 Col. Ensueños
ver mapa